




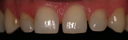
CARILLAS DE CERÁMICA (VENEERS)
Te gustaría tener una sonrisa con dientes blancos, alineados y con aspecto natural. En Dentalec tenemos la solución para ti.
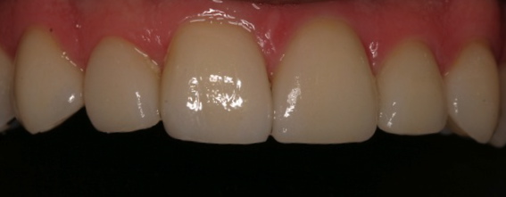
Las carillas de porcelana utilizan para mejorar la posición, color y forma de los dientes, es decir la estética general de la sonrisa. Las carillas de porcelana son una solución duradera para cubrir y restaurar el diente de manera natural.
Están fabricadas con una fina capa de porcelana que se une a la superficie del diente.
Las carillas son una alternativa estética para una variedad de problemas dentales como:
- Dientes rotos o astillados
- Dientes manchados o descoloridos de manera permanente
- Espacios entre los dientes
- Dientes mal alineados
Ventajas de las carillas:
- Preserva la estructura de los dientes naturales
- Resistentes
- Color igual a los dientes naturales
- Sonrisa de aspecto natural
No esperes más para tener una hermosa sonrisa, comunícate a Dentalec para hacer una cita.
Puedes llamar a nuestro
front desk al 52 (322) 221 1136
Lun – Vie 9am – 8pm, email dentalec.marina@gmail.com
ó usando nuestra forma de contacto